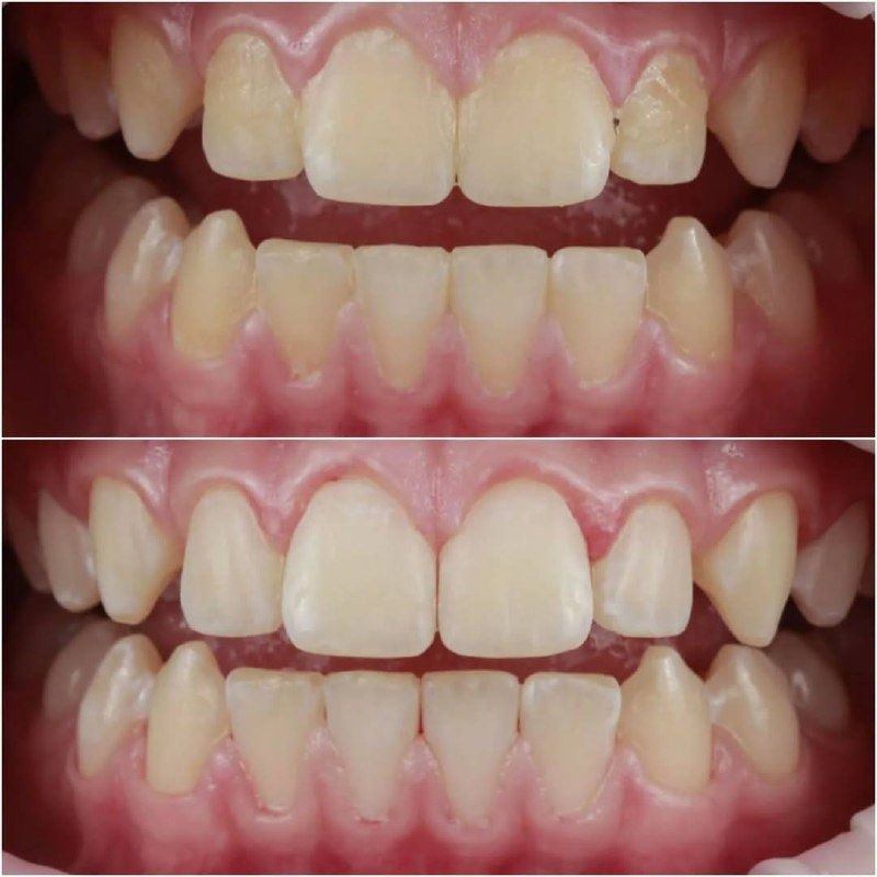
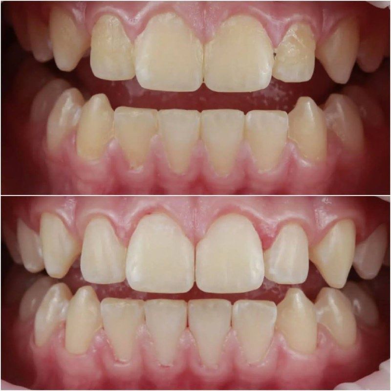
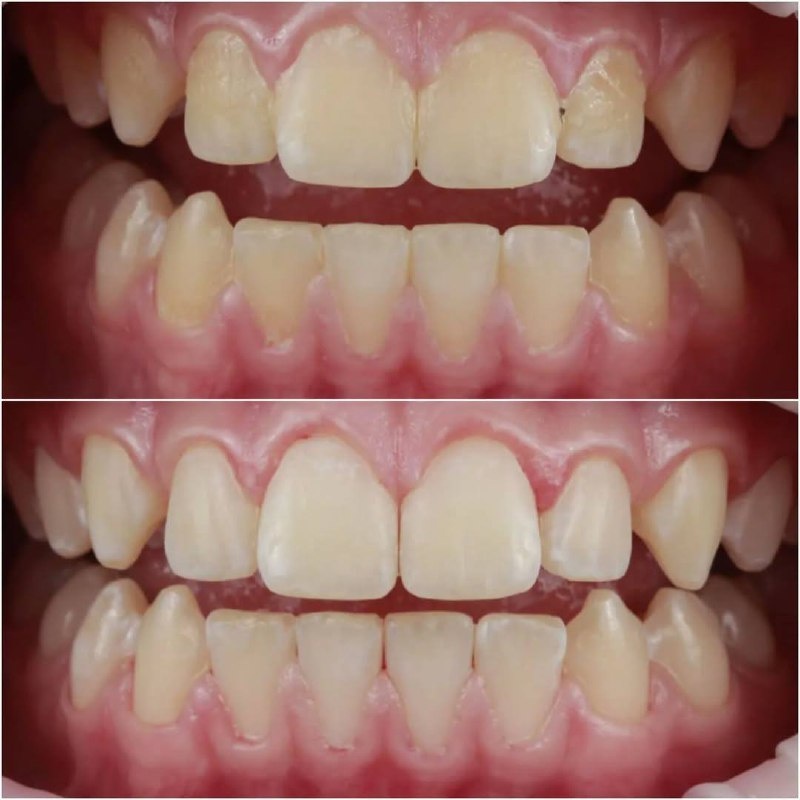
Мягкий зубной налет — это не просто косметический недостаток, а серьезная угроза для здоровья полости рта. Если зубной камень бросается в глаза, то налет может оставаться незамеченным, однако именно он таит в себе огромные риски, сообщает Дзен-канал "Иннова Клиник".
Патогенная микрофлора на зубах
В мягком налете скрывается значительное количество патогенных бактерий, которые способны негативно влиять на зубную эмаль. Эти микроорганизмы выделяют кислоты, что провоцирует деминерализацию эмали и может привести к образованию кариеса. Процесс разрушения зубов начинается именно с незамеченного налета, который и ведет к более серьезным стоматологическим проблемам.
Как справиться с мягким налетом?
Для поддержания здоровья зубов очень важно следить за их гигиеной. Простые действия могут значительно снизить риски:
- Регулярная чистка зубов — не менее двух раз в день.
- Использование зубной нити для удаления налета из межзубных пространств.
- Применение ополаскивателей для рта, чтобы уничтожить бактерии и освежить дыхание.
Дополнительно рекомендуется обращаться к профессиональным стоматологам-гигиенистам, которые помогут в проведении профессиональной чистки и дадут индивидуальные советы для ухода за зубами. Специалист подберет подходящие средства и методики ухода, учитывая особенности вашего зубного ряда.
Профилактика — ключ к здоровью зубов
Современная стоматология предлагает множество способов борьбы с мягким налетом и его последствиями. Регулярные визиты к стоматологу и грамотный уход за зубами помогают сохранить улыбку белоснежной и здоровье зубов на высоком уровне.


























