Десять магнитов проглотила пятилетняя девочка из Екатеринбурга. Врачи чудом спасли ей жизнь.
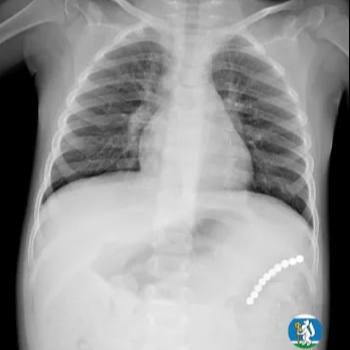
Ульяна почувствовала себя плохо, и родители отвели её к медикам. Те сначала думали о пневмонии. Сделали рентген и на снимке увидели, что в желудке застряла цепочка из магнитных шариков.
Девочку срочно госпитализировали и прооперировали. Сейчас малышку выписали, её жизни ничего не угрожает.








































