Обнаружили в желудке опасную цепочку из магнитов: ребенок проглотил 10 шариков
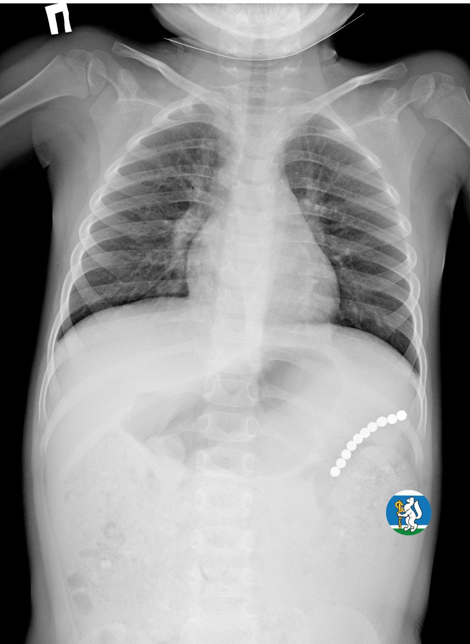
Родители обратились к врачу, когда 5-летняя дочка почувствовала себя плохо. При обследовании врачи Детской городской клинической больницы №9 Екатеринбурга нашли в желудке опасную цепочку из магнитов, которые повредили органы пищеварения. Девочку срочно прооперировали, чтобы избежать серьёзных осложнений.
«Малышка почувствовала недомогание, и семья пришла на консультацию к участковому педиатру. Для исключения пневмонии был выполнен рентген органов грудной клетки. Благодаря этому на снимке в проекции желудка диагносты обнаружили чрезвычайно опасный предмет — цепочку магнитных шариков, которые травмировали стенки органов пищеварительной системы и могли стать причиной перитонита. В связи с угрозой жизни Ульяну оперативно госпитализировали в Детскую городскую клиническую больницу №9, где ей оказали всю необходимую помощь», — рассказала заместитель губернатора - министр здравоохранения Татьяна Савинова.
Врачи с помощью современного оборудования достали все инородные предметы. После операции ребёнок провёл 10 дней под наблюдением и получил необходимое лечение. Сейчас жизни девочки ничего не угрожает, рассказали в "Здоровье уральцев".
— где были родители? Всё могло закончиться куда хуже
— спасибо медикам за помощь








































